سبد خرید
0
{{item.title}}
{{item.subtitle}}
{{item.total|number}} تومان
حذف
ثبت و نهایی کردن سفارش
سبد خرید شما خالی است.
ورود
ثبتنام
قلب من
همه چیز در مورد قلب و عروق
خانه
علایم شایع قلبی
درد قفسه سينه
تنگی نفس
تپش قلب
ادم و تورم
سرگیجه و سنکوپ
عوامل خطر قلبی
فشارخون بالا
دیابت قندی
چاقی و اضافه وزن
سیگار و دخانیات
استرس و اضطراب
چربی خون بالا
سندرم متابلیک
سابقه خانوادگی بیماری قلبی
بیماریهای قلبی
بیماری عروق کرونر قلب
نارسایی قلب
دریچه های قلب
اختلال ریتم قلب(آریتمی)
ترومبوز
کاردیومیوپاتی ها
بیماریهای عروقی
قلب و سایر اعضای بدن
تست های تشخیصی
عددهای نرمال سلامتی
آزمایش خون
نوار قلب
اکوکاردیوگرافی
تست ورزش
هولتر ریتم قلب
هولتر فشار خون
اسکن هسته ای قلب
آنژیوگرافی و کاتتریسم
سی تی آنژیوگرافی قلب
درمان بیماریهای قلبی
اعمال اینترونشن
آنژیوپلاستی عروق کرونر
اینترونشن دریچه ها
اینترونشن بیماریهای مادرزادی
درمان بیماری؟
اعمال جراحی قلب
مراقبت های بعد از ...
وسایل و دستگاه های قلبی
داروخانه قلب
داروهای ضد فشارخون بالا
داروهای ضد چربی خون
داروهای ضد دیابت
داروهای کاهش وزن
مشاوره دارویی
قلب سالم من
ویدیوها
بر اساس موضوع...
کاردیوتیوب - همه ویدیوها
وبلاگ
درباره ما
کارهایی که ما انجام می دهیم..
گالری تصاویر
پزشکان و پرسنل ما
تعرفه ها و بیمه ها
خانه
تست های تشخیصی
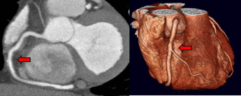
سی تی آنژیوگرافی قلب
سی تی آنژیوگرافی قلب
تفاوت آنژیوگرافی با آنژیوپلاستی
در بیان تفاوت آنژیوگرافی با آنژیوپلاستی
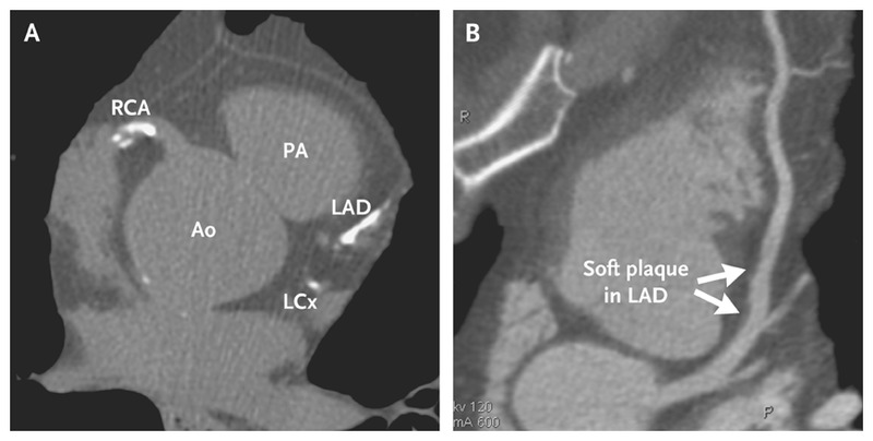
سی تی آنژیو چیست؟
سی تی آنژیوگرافی به چه نحو انجام می شود و به چه آمادگی نیاز دارد؟
کلسیم اسکور- CAC Score - به چه معناست؟
رسوب کلسیم در عروق کرونر به چه معناست؟
آمادگی برای انجام سی تی آنژیوگرافی
برای انجام سی تی آنژیو چه اقداماتی لازم است؟
آنژیوگرافی از دست! خوب یا بد؟
بررسی تفاوت های انجام آنژیوگرافی از دست و پا
آنژیوگرافی یا سی تی آنژیوگرافی! کدام بهتر است؟
آشنایی با شباهت ها و تفاوت های آنها
کلینیک قلب من - انتشار مطالب با ذکر منبع بلامانع است
×
مشاهده سبدخرید
ادامه
در حال بارگذاری...
{{attribute.name}}
{{value}}
{{attribute.name}} را انتخاب کنید.
تعداد
تعداد را بنویسید.
تعداد را بیشتر از 0 بنویسید.
تعداد را کمتر از 10000000000 بنویسید.
{{getComparePrice() | number}}
{{getPrice() | number}} تومان